SubtleHD™

Stunning
MRI Clarity. Unprecedented Speed.

Request a Demo

Conventional
ACQ TIME:
6:42

SubtleHD™
ACQ TIME:
2:49

GE Signa HDxt 1.5T
Knee
Cor T1

SubtleHD™ is a cutting-edge AI-powered software solution that dramatically improves image quality and enables hyper-accelerated MRI protocols.

  • Add additional time slots
  • Revive legacy scanners
  • Improve patient comfort

SubtleHD™ seamlessly integrates with existing MRI scanners, enabling facilities to enhance performance across all equipment brands.

By extending the lifespan of existing magnets and eliminating the need for costly OEM upgrades or new equipment purchases, SubtleHD™ provides a cost-effective pathway to improved imaging and operational excellence.

Superior Image Quality

Uses advanced denoising and sharpening on all body parts, producing ultra-clear images that often exceed standard-of-care quality.

Unprecedented Speed

Enables significantly faster scan protocols with some sequences achieving up to 80% time savings.

Immediate ROI

Boosts revenue by increasing slot times per machine, optimizing scheduling efficiency, and reducing patient wait times.

Download Whitepaper here

By scanners

  • GE
  • Siemens
  • Hitachi
  • Philips

By body parts

  • All
  • Brain
  • Neck
  • Spine
  • Shoulder
  • Knee
  • Ankle
  • Foot
  • Wrist
  • Prostate

GE Signa Explorer 1.5T

Pediatric Brain

Ax T2 - Propeller

Time Saving 35%

GE Signa Explorer 1.5T

Pediatric Brain

Ax T2 - Propeller

Conventional


ACQ TIME:

1:56

35%

Time Saving

SubtleHD™


ACQ TIME:

0:46

Philips Achieva 1.5T

Brain Sag

T2 FLAIR-3D

Time Saving 49%

Philips Achieva 1.5T

Brain Sag

T2 FLAIR-3D

Conventional


ACQ TIME:

4:05

49%

Time Saving

SubtleHD™


ACQ TIME:

2:05

Hitachi Oasis 1.2T

Brain

Ax T2

Time Saving 43%

Hitachi Oasis 1.2T

Brain

Ax T2

Conventional


ACQ TIME:

3:05

43%

Time Saving

SubtleHD™


ACQ TIME:

1:45

Siemens Espree 1.5T

Soft Tissue Neck

Cor T1 FS Post

Time Saving 48%

Siemens Espree 1.5T

Soft Tissue Neck

Cor T1 FS Post

Conventional


ACQ TIME:

4:49

48%

Time Saving

SubtleHD™


ACQ TIME:

2:29

Siemens Skyra 3T

Cervical Spine

Sag T2

Time Saving 67%

Siemens Skyra 3T

Cervical Spine

Sag T2

Conventional


ACQ TIME:

1:40

67%

Time Saving

SubtleHD™


ACQ TIME:

0:34

Siemens Avanto 1.5T

Cervical Spine

Sag T1

Time Saving 63%

Siemens Avanto 1.5T

Cervical Spine

Sag T1

Conventional


ACQ TIME:

3:35

63%

Time Saving

SubtleHD™


ACQ TIME:

1:19

Siemens Avanto 1.5T

Thoracic Spine

Cor T2

Time Saving 42%

Siemens Avanto 1.5T

Thoracic Spine

Cor T2

Conventional


ACQ TIME:

3:18

42%

Time Saving

SubtleHD™


ACQ TIME:

1:52

Siemens Avanto 1.5T

Lumbar Spine

Sag T1

Time Saving 53%

Siemens Avanto 1.5T

Lumbar Spine

Sag T1

Conventional


ACQ TIME:

1:54

53%

Time Saving

SubtleHD™


ACQ TIME:

0:54

Philips Intera 1.5T

Lumbar Spine

Sag T2

Time Saving 48%

Philips Intera 1.5T

Lumbar Spine

Sag T2

Conventional


ACQ TIME:

2:58

48%

Time Saving

SubtleHD™


ACQ TIME:

1:23

GE Signa HDxt 1.5T

Shoulder Arthrogram

Sag T1

Time Saving 45%

GE Signa HDxt 1.5T

Shoulder Arthrogram

Sag T1

Conventional


ACQ TIME:

2:45

45%

Time Saving

SubtleHD™


ACQ TIME:

1:30

GE Signa HDxt 1.5T

Shoulder Arthrogram

Cor T1 FS

Time Saving 44%

GE Signa HDxt 1.5T

Shoulder Arthrogram

Cor T1 FS

Conventional


ACQ TIME:

4:52

44%

Time Saving

SubtleHD™


ACQ TIME:

2:43

Siemens Skyra 3T

Shoulder

Cor T1

Time Saving 48%

Siemens Skyra 3T

Shoulder

Cor T1

Conventional


ACQ TIME:

2:42

48%

Time Saving

SubtleHD™


ACQ TIME:

1:24

GE Signa HDxt 1.5T

Knee

Sag PD

Time Saving 53%

GE Signa HDxt 1.5T

Knee

Sag PD

Conventional


ACQ TIME:

3:03

53%

Time Saving

SubtleHD™


ACQ TIME:

1:25

GE Signa HDxt 1.5T

Knee

Cor T1

Time Saving 58%

GE Signa HDxt 1.5T

Knee

Cor T1

Conventional


ACQ TIME:

6:42

58%

Time Saving

SubtleHD™


ACQ TIME:

2:49

GE Signa HDxt 1.5T

Knee

Sag PD

Time Saving 46%

GE Signa HDxt 1.5T

Knee

Sag PD

Conventional


ACQ TIME:

2:42

46%

Time Saving

SubtleHD™


ACQ TIME:

1:28

Siemens Skyra 3T

Ankle

Sag STIR

Time Saving 67%

Siemens Skyra 3T

Ankle

Sag STIR

Conventional


ACQ TIME:

2:57

67%

Time Saving

SubtleHD™


ACQ TIME:

0:58

Siemens Symphony 1.5T

Foot

Ax PD FS

Time Saving 50%

Siemens Symphony 1.5T

Foot

Ax PD FS

Conventional


ACQ TIME:

1:35

50%

Time Saving

SubtleHD™


ACQ TIME:

0:48

Siemens Espree 1.5T

Wrist

Cor GRE

Time Saving 50%

Siemens Espree 1.5T

Wrist

Cor GRE

Conventional


ACQ TIME:

5:37

50%

Time Saving

SubtleHD™


ACQ TIME:

2:48

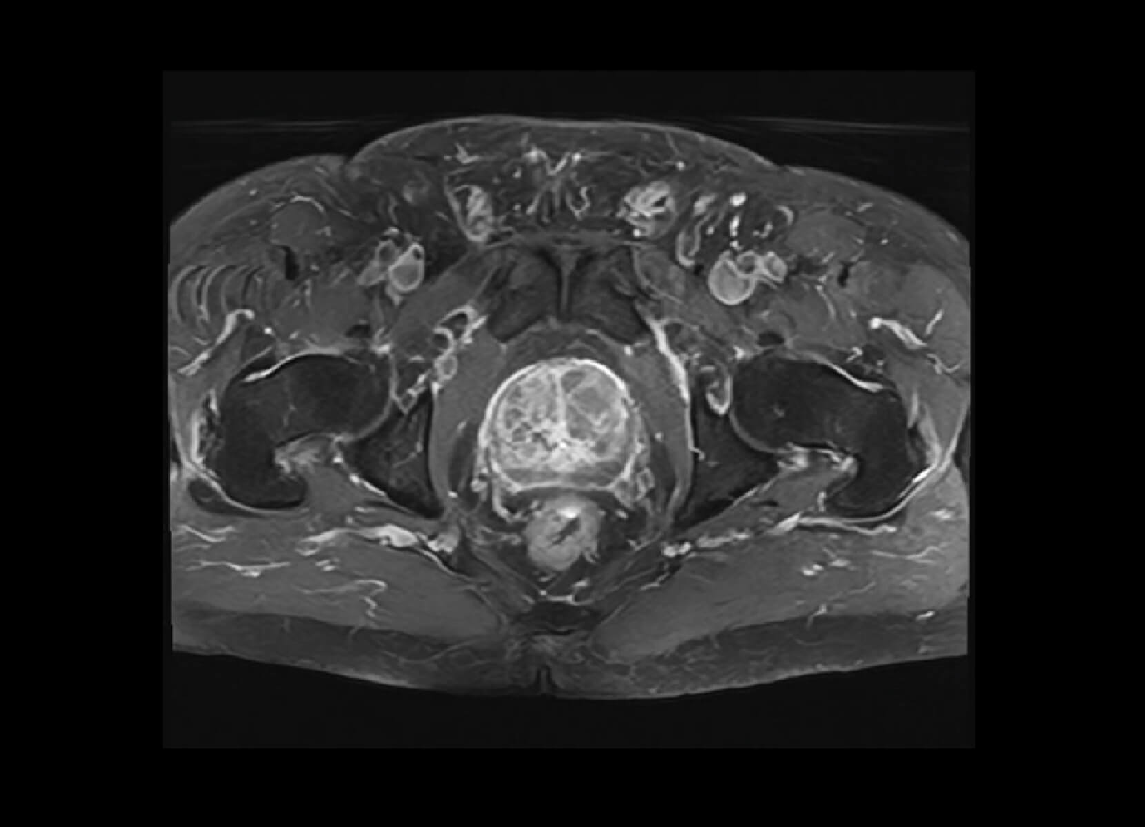
Siemens Skyra 3T

Prostate

Ax T1c

Time Saving 74%

Siemens Skyra 3T

Prostate

Ax T1c

Conventional


ACQ TIME:

2:52

74%

Time Saving

SubtleHD™


ACQ TIME:

0:45

SubtleHD™

Stunning
MRI Clarity.
Unprecedented Speed.